Casos y clientes que tratamos en Odonto Estrada
A continuación te mostramos una diversidad de casos y conceptos que pueden de diversos clientes que atendemos en nuestros consultorios.


1. ¿Cuál es el tratamiento para el bruxismo?
El tratamiento del bruxismo depende de su causa. Generalmente incluye el uso de férulas de descarga para proteger los dientes, control del estrés, fisioterapia mandibular y, en algunos casos, medicación o tratamiento odontológico correctivo si ya existe desgaste dental severo.


2. ¿A partir de qué edad se pueden colocar los implantes dentales?
Los implantes dentales pueden colocarse cuando el crecimiento óseo ha finalizado, normalmente a partir de los 18–21 años, dependiendo del paciente. Antes de esa edad, el hueso aún está en desarrollo.


3. ¿Qué es un implante dental?
Un implante dental es una raíz artificial de titanio que se coloca en el hueso maxilar o mandibular para reemplazar un diente perdido. Sobre él se coloca una corona que imita la forma y función de un diente natural.


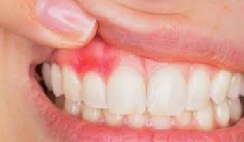
4. ¿Por qué ocurre el sangrado de encías?
El sangrado de encías suele ser un signo de gingivitis o enfermedad periodontal, generalmente causado por acumulación de placa bacteriana, mala higiene oral, cambios hormonales o enfermedades sistémicas.


5. Limpieza dental: ¿cada cuánto tiempo?
Se recomienda realizar una limpieza dental profesional cada 6 meses. En pacientes con enfermedad periodontal, puede ser necesaria cada 3 o 4 meses.


6. ¿Cómo puedo saber si necesito brackets?
Si presentas dientes torcidos, apiñados, espacios, mordida incorrecta o dificultad para masticar, es probable que necesites ortodoncia. Solo una evaluación con el ortodoncista puede confirmarlo.


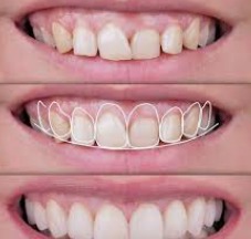
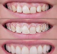
7. ¿Cuáles son los beneficios de las carillas dentales?
Las carillas mejoran la estética dental, corrigen color, forma, tamaño, espacios y pequeñas fracturas, ofreciendo una sonrisa más armónica y natural con mínima intervención.


8. Salvar una pieza con la endodoncia
La endodoncia permite salvar un diente dañado eliminando la pulpa infectada, desinfectando el conducto y sellándolo. Evita la extracción y conserva la función del diente.


9. ¿Qué es la gingivitis? ¿Cómo curar la inflamación de encías?
La gingivitis es la inflamación de las encías causada por placa bacteriana. Se trata con limpieza profesional, buena higiene oral diaria y uso de enjuagues recomendados por el odontólogo.


10. Preguntas frecuentes sobre carillas dentales
¿Duelen? → No, el procedimiento es mínimamente invasivo.
¿Cuánto duran? → Entre 10 y 15 años con buen cuidado.
¿Se ven naturales? → Sí, especialmente las de porcelana.


11. ¿Qué es el diseño de sonrisa?
Es un tratamiento integral que planifica digitalmente la sonrisa ideal del paciente, considerando estética, función, labios, encías y rostro, antes de realizar cualquier procedimiento.


12. ¿Cuándo debe ser la primera visita al dentista?
La primera visita debe realizarse al salir el primer diente o antes del primer año de vida, para prevenir caries tempranas y orientar a los padres.


13. ¿Qué es la sonrisa gingival y cómo puede prevenirse?
Es cuando se muestra exceso de encía al sonreír. Puede prevenirse o tratarse con ortodoncia, cirugía periodontal o tratamientos estéticos, según la causa.


14. ¿Por qué es importante mantener dientes sanos?
Los dientes sanos permiten masticar correctamente, hablar bien, evitar infecciones, mejorar la autoestima y prevenir problemas de salud general.


15. ¿Cómo debo cuidar mi ortodoncia?
Mantén una higiene rigurosa, evita alimentos duros o pegajosos, usa cepillos interdentales, hilo dental especial y acude puntualmente a tus controles.


16. ¿Cómo lavarse los dientes correctamente?
Cepilla tus dientes 3 veces al día, durante al menos 2 minutos, con movimientos suaves, usando hilo dental y enjuague bucal.


17. ¿Cada cuánto tiempo debes visitar al dentista?
Lo ideal es cada 6 meses, incluso si no hay dolor, para prevención y diagnóstico temprano.


18. Bruxismo: ¿qué es?
Es el hábito involuntario de apretar o rechinar los dientes, generalmente durante el sueño, que puede causar desgaste dental, dolor muscular y problemas articulares.


19. Carillas dentales: qué son, usos y cómo se ponen
Son láminas delgadas que se adhieren a la superficie del diente para mejorar su estética. Se usan para blanquear, alinear visualmente y armonizar la sonrisa, y se colocan en pocas sesiones.


20. El problema de las caries en los niños
Las caries infantiles son muy comunes y pueden afectar el desarrollo dental. Se previenen con buena higiene, dieta controlada en azúcares, flúor y visitas tempranas al odontopediatra






