
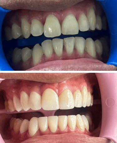
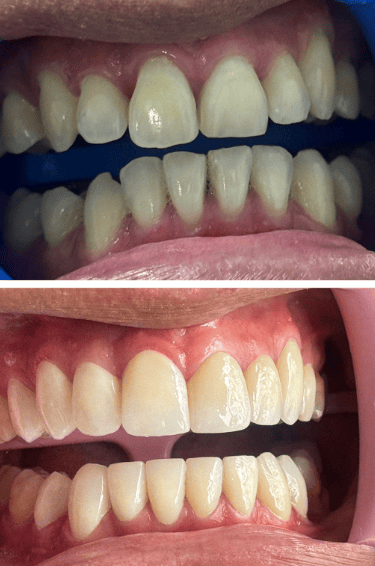
Resultados Reales Sonrisas Reales
En esta sección mostramos algunos de nuestros casos clínicos, realizados por nuestro equipo de especialistas.
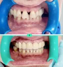
Tratamiento de ortodoncia






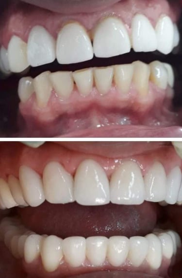
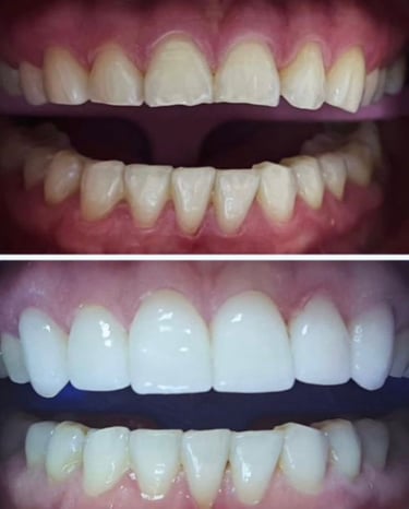
Carillas dentales superiores
Tratamiento de ortodoncia
Nuestros Mejores Resultados
Cada transformación refleja nuestro compromiso con la calidad, la precisión y la estética dental.
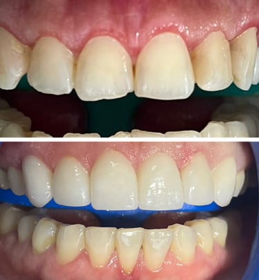
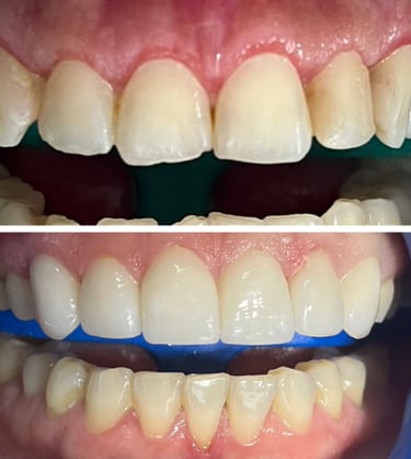
Más Clientes Recientes


Tratamiento de Brackets estéticos






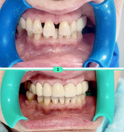
Rehabilitación oral completa superior + inferior
Tratamiento estético
Brackets estéticos






Rehabilitación completa
Tratamientos estéticos
Carillas directas de Resina






Carillas de Zirconio
Rehabilitación estética con carillas de resina
Rehabilitación completa con carillas de resina






Rehabilitación estética con carillas de resina
Rehabilitación
Carillas de Zirconio




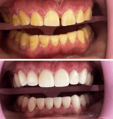
Blanqueamiento dental
Rehabilitación Estética con Carillas de Resina Compuesta Directa


Carillas de Zirconio






Blanqueamiento dental
Rejuvenecimiento Facial
Carillas de Porcelana E-max






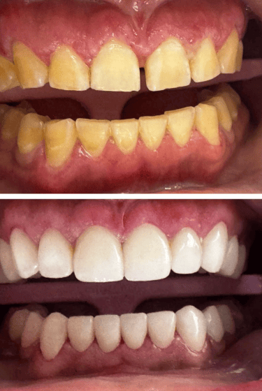
Carillas y blanqueamiento dental
Carillas superiores
8 Carillas E-max






Rehabilitación completa inferior
Rehabilitación Completa Implantes


Carillas de zirconio


Carillas de zirconio




Carillas de zirconio
Alineamiento con resinas


Coronas de porcelana




Carillas de porcelana
Carillas de zirconio


Coronas de zirconio


Carillas de zirconio




Carillas de zirconio superiores e inferiores
Carillas de zirconio


Coronas de zirconio


Carillas de zirconio




Carillas felespáticas
Carillas de zirconio


Carillas de zirconio


Carillas de zirconio


Carillas de resina
Carillas Antes
















